戸畑共立病院での前立腺癌診断と根治放射線治療の成績
2025年 師走
戸畑共立病院での前立腺癌診断と根治放射線治療の成績について、ご報告します。
① 前立腺癌の診断には生検前のMRI画像の画質が重要、かつ有効。
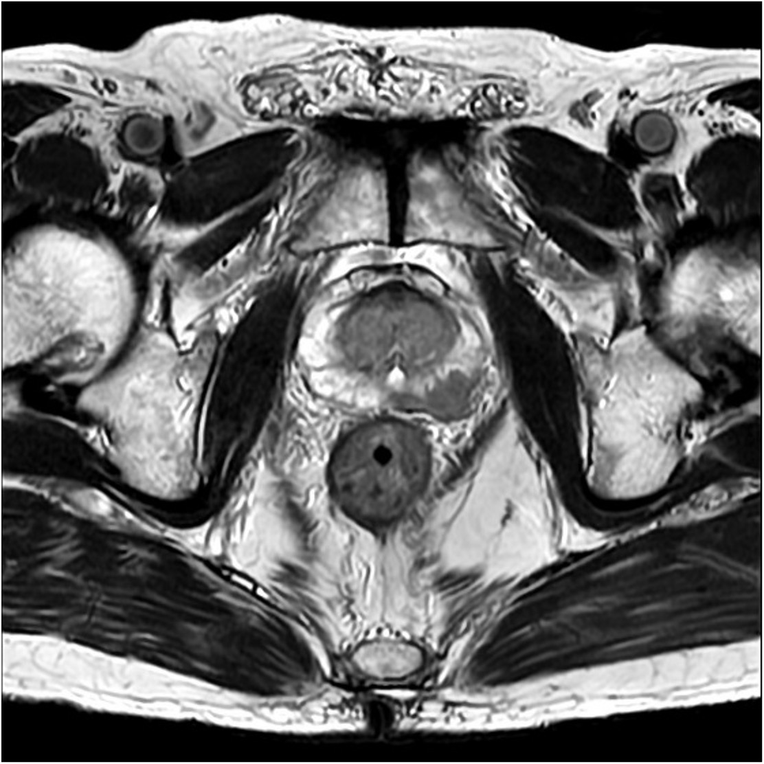
当院では、2008年から前立腺針生検前にはMRI(造影剤を使わない単純撮影)を行っております。これまでに当院放射線科では、2000例以上の前立腺MRI検査実施経験から、細かい撮影条件設定を行い、よりS/N比の高い画像を得るための努力を続けてきております。下に示す画像(Fig.1)は、最近の3T-MRIでの代表的前立腺癌症例ですが、前立腺左葉辺縁域にはっきりと撮影されている癌病巣がわかると思います。PSA二次検診の方法には施設によってさまざまですが、現在では前立腺癌診断には、このMRIで得られる画像所見こそが、最も客観的かつ診断に寄与する、と考えております。当院の画像をぜひご覧ください。
現在まで、当院のPSA二次検診では、できるだけお待たせしないように3T・MRI検査を実施し、癌が想定される部位をあらかじめ確認して、その所見部位を正確に生検するという、標的生検法を行っております(経会陰式)。こうした画像をもとに前立腺生検を行うとすれば、例えば1本でも正確に採取できれば癌診断ができると考えております(実際には標的部位本数+6本程度)。二次検診MRIで癌を疑う所見がないとすれば、前立腺肥大症か前立腺炎と考えられますので、排尿症状などに応じて適切に内服治療し、経過観察ができれば、迅速な針生検検査は避けてよい、と考えています。
実際の当院での前立腺標的生検法は、当院で実施している前立腺癌根治放射線治療の1つ、密封小線源治療の技術(過去750例実施)を応用し、感染症合併が少なく、直腸出血も少ない経会陰式で行っております。入院で、腰椎麻酔で実施しておりますが、最近の4年間の前立腺針生検を実施した場合の癌検出率は下表に示しております(Table 1)。生検を受けられた患者様の約80%以上に前立腺癌が検出されていますが、その多くはMRI標的部位から検出されています。診断後は、骨シンチ検査など追加画像診断を実施し、診断時PSA値。病理組織所見、画像診断から米国のNCCN分類にわけて治療法を説明しております。患者様の状態、希望に合わせた最適な治療法を、放射線治療中心にご案内しております。さらに、生検前のMRI画像で癌の局在が治療前にわかっていることも、放射線治療の成績向上に少なからず寄与しております。
Fig.1 MRI


Table 1

前立腺癌のNCCNリスク分類と当院の放射線治療の適応


文章責任:泌尿器科 部長 山田 陽司
② 前立腺癌の放射線治療は治る治療です
これまで2008年以降、当院の前立腺癌放射線治療は1000例を超え、次に紹介する2つの治療法では全体の95%の患者様は治癒しておられます。その内容について、簡単に説明します。
定位放射線治療
まず定位放射線治療とは、正確な位置合わせができる放射線治療機器を使用すれば、1回に照射する放射線量を増加することできて、短期間かつ少ない治療回数で癌を完治できる新しい外照射療法です。当院では、脳腫瘍については以前から実施しておりますが、前立腺癌については2018年に導入し、2025年12月までに、407例の治療実績があります。前立腺癌のなかでも低・中リスク群という比較的治りやすい癌に治療してきました。まだ観察期間は短いのですが、これまで7例のPSA再発例(低リスク群3例、中リスク群4例)しかなく、全体で98%は非再発です。前立腺癌での死亡例はなく、有害事象は約10%の症例で、3か月以内の軽度排尿障害がありましたが、その後改善されております。また明らか直腸出血はありませんでした。

この治療法は、正確に照射できて、かつ副作用が少ないので、患者さんが楽に治療できて、治癒率が高いと考えております。ですから、この放射線治療後に、もしPSA再発があっても、手術を行う必要性は極めて少ないといえます。現在当院では、7例の再発例には、間歇的抗男性ホルモン療法で管理できております。ご希望があれば、再生検での病理診断後に救済密封小線源治療を実施する予定です。
小線源治療(単独)と、
小線源療法+外照射療法+ホルモン療法(TRIMODALITY)について
当院では2008年から前立腺癌に対する密封小線源治療を導入し、これまで2025年5月までに低-中リスク群への単独治療431例、予後不良中リスク群および高リスク群、超高リスク群に対するホルモン療法+密封小線源、+外照射療法のTRIMODALITYを278例実施しました。その5年、10年の治療成績をご紹介します(第38回日本放射線治療学会;於東京都、2025/11で報告、グラフを参照ください)。今回の学会報告では、日本全体で最も大規模な前向き調査している密封小線源治療に関するJ-POPS研究の結果が示されましたが、同日に報告した当院の治療成績は、これに劣らない良好な治療成績でした。まず低-中リスク群での単独治療では、いずれも10年で94%以上の治癒率でした。また高リスク群、超高リスク群とは、癌組織が未分化で、前立腺被膜や精嚢腺浸潤、骨盤内リンパ節転移などの局所への進行癌が含まれますので、まず手術療法では根治が期できないとされています。しかし、当院のTRIMODALITYなら、高リスク群、超高リスク群であってもそれぞれ10年で83%、71%以上の治癒率があり、こうした前立腺の局所浸潤癌で治癒を求める患者様のご要望に十分応えられる治療成績であると考えます。


有害事象の尿路急性期有害事象は、グレード1-2(軽度)が8.6%。グレード3以上(処置を要する)の晩期有害事象は、尿路で小線源単独2.1%、Trimodality2.9%、直腸で小線源単独1.6%、Trimodality0.7%で、多い有害事象ではないと考えられました。
当院の前立腺癌放射線治療では、16年間の密封小線源治療では、低、中リスク群での成績はほぼ95%以上の治癒率であり、極めて良好でした。これは現在実施している定位放射線治療ともほぼ同様でした。根治手術が困難とされる高リスク群や超高リスク群の成績と合わせますと、当院の前立腺癌治療では、放射線治療がすべてのリスク群に対して根治性を保った治療が実施できております。
今後の前立腺癌治療について
これらのことを踏まえまして、今後当院の前立腺癌治療では、低―中リスク群については定位放射線治療を中心に説明し、高リスク群や超高リスク群については、これまで通りTRIMODALITYを説明していきます。当院では、転移のないすべての限局性前立腺癌を放射線治療で治療できており、今後も続けていきます。
Table 2

文章責任:泌尿器科 部長 山田 陽司

共愛会グループ
地域支援・がん治療・救急・急性期